HANAMMAC DENTAL CLINIC

원장님 칼럼

하남맥치과는 약속합니다
더 정직하게, 더 바르게, 더 편안하게 진료하겠습니다
[앞니 신경치료 기록] 전치부 신경치료 및 맞춤형 보철(크라운, 브릿지) 수복

작성일 | 2026.04.01 작성자 | 관리자

[앞니 신경치료 기록]

전치부 신경치료 및

맞춤형 보철(크라운, 브릿지) 수복


 

69세 여성 환자분께서 "앞니 치료하고 싶어요"라는 주소(C.C)로 내원하셨습니다.

 

앞니는 대화하거나 미소를 지을 때 가장 먼저 노출되는 부위로 심미적인 부분에 큰 영향을 미치며, 앞니의 손상은 음식을 끊어 먹는 기본적인 기능 저하로 직결됩니다.

 

본 글에서는 손상된 다수의 앞니를 치료함에 있어, 객관적인 진단과 단계적인 보철 수복 과정이 어떻게 적용되는지 실제 임상 사례를 통해 공유하고자 합니다.


 

 

 

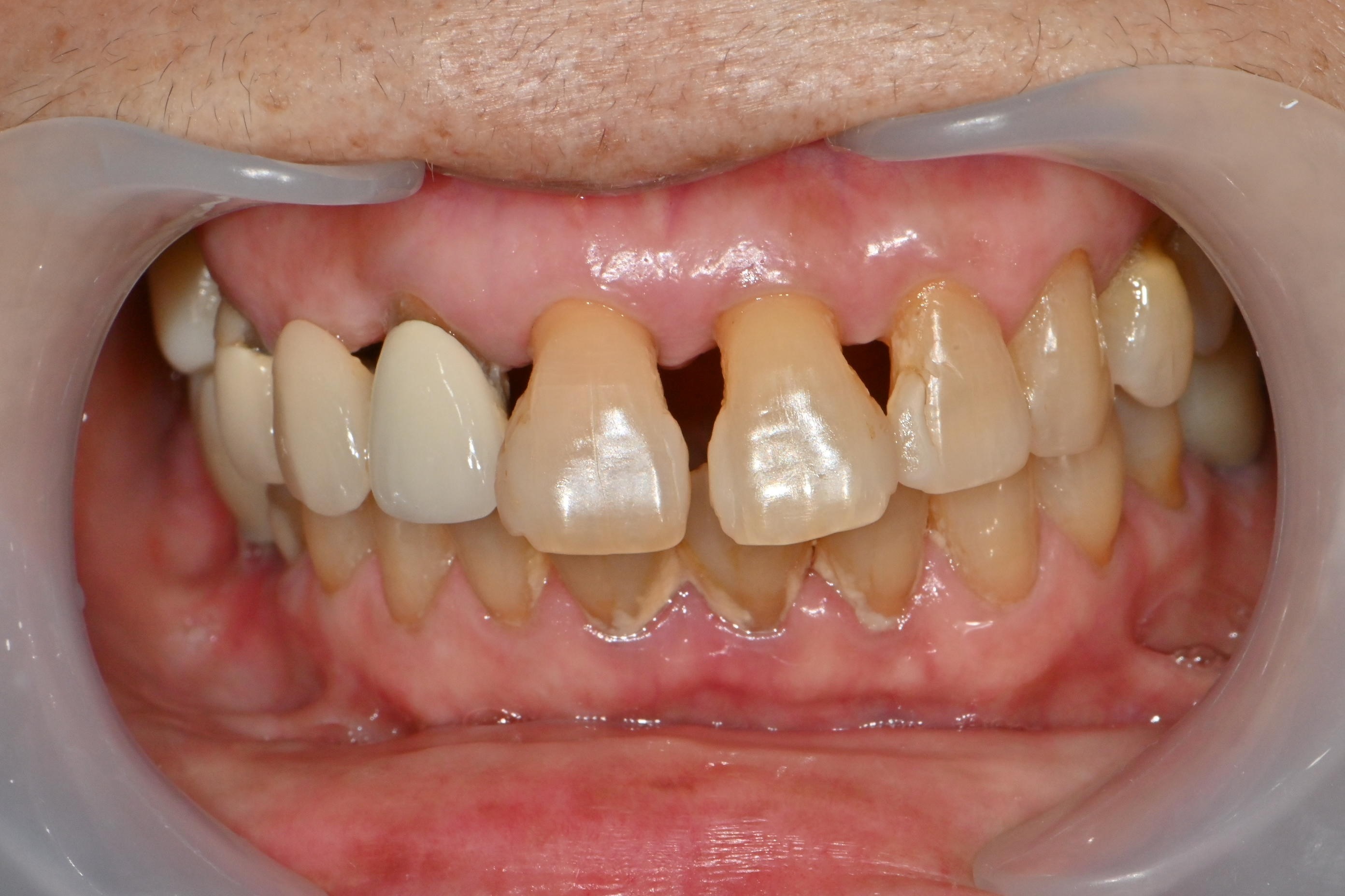
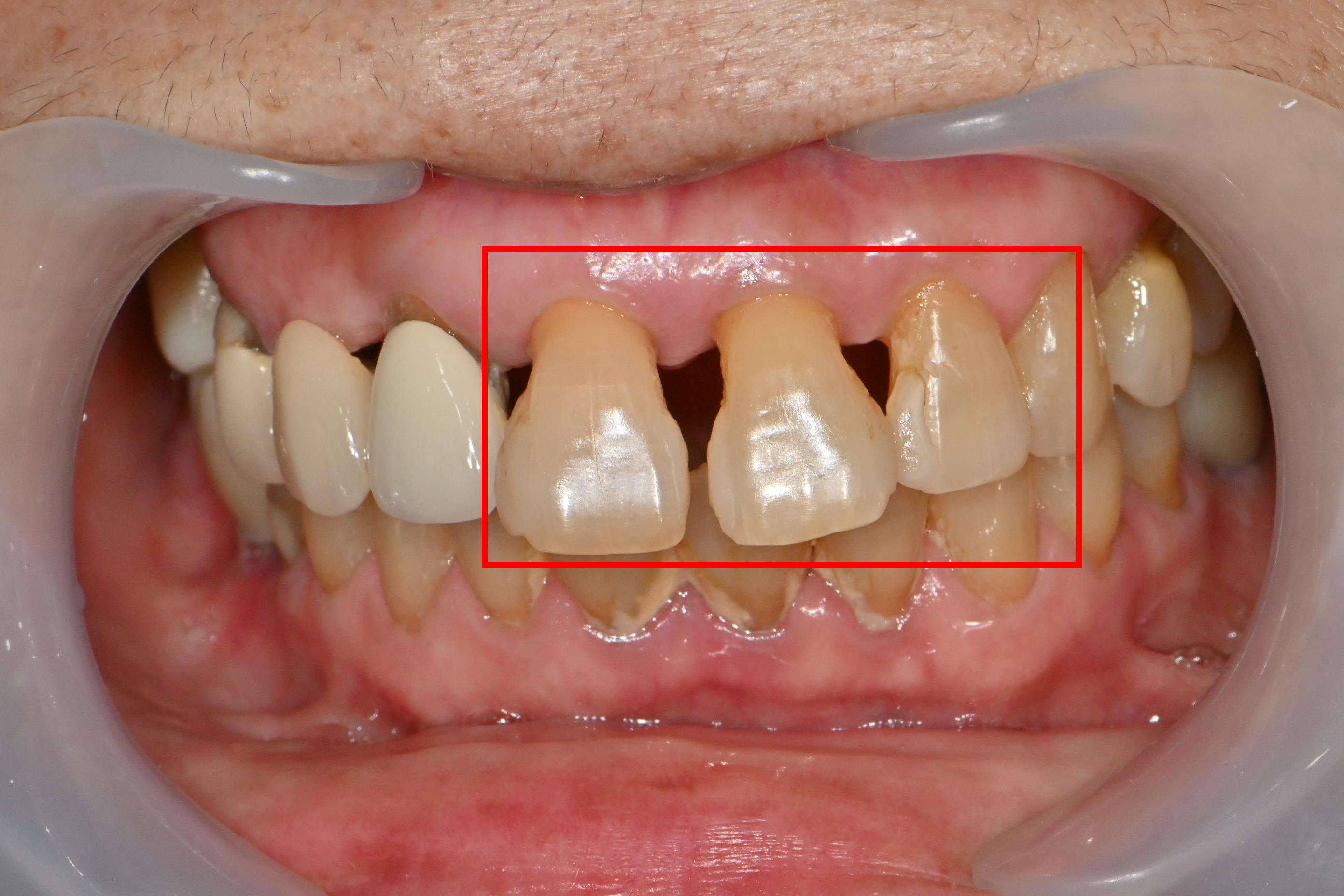
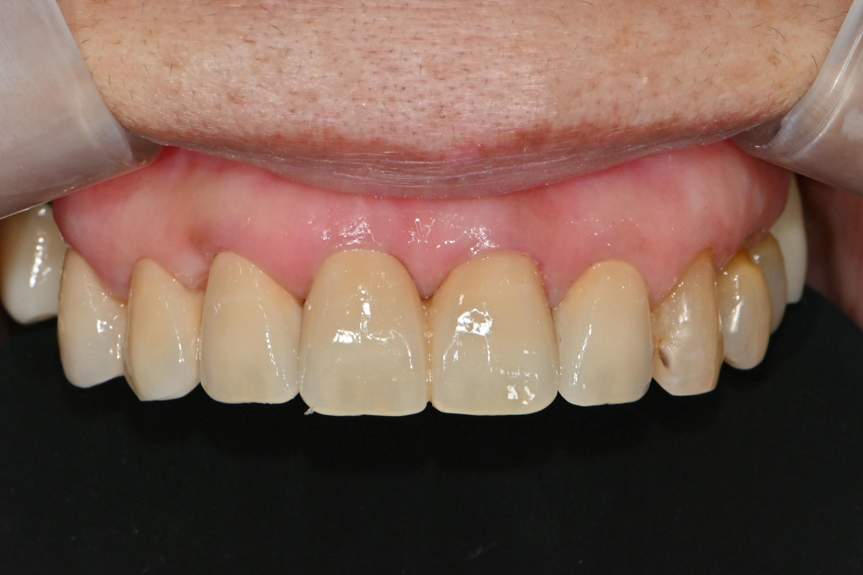
2025년 4월 30일 첫 내원 시 촬영한 구내 정면 사진입니다.

 

기존 자연치아들의 심한 마모와 변색, 그리고 치아 사이의 공간 빈틈이 뚜렷하게 관찰됩니다.

 

이러한 상태는 심미성을 크게 떨어뜨릴 뿐만 아니라, 치아 우식(충치)이나 파절의 위험을 높입니다. 단순히 겉면만 다듬는 선에서는 해결이 불가능하며, 치아의 근본적인 수명 연장과 기능 회복을 위해 다수의 앞니신경치료보철 수복이 필요하다고 진단했습니다.


 

 

 

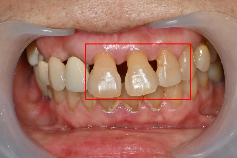
기존 치아의 상태를 고려하여, 상악 중절치 및 측절치(#11, 12, 21) 부위에 먼저 신경치료를 진행했습니다.

 

전치부 치료에서 가장 중요한 원칙 중 하나는 신경치료 직후에 최종 보철물을 바로 장착하지 않는 것입니다. 본 증례에서도 신경치료 후 일정 기간 임시치아를 장착하여 사용하도록 조치했습니다. 임시치아 단계는 환자가 새롭게 바뀐 치아의 형태와 교합(맞물림)에 적응할 수 있는지, 잇몸 주변 조직이 건강하게 유지되는지 임상적으로 평가하고 검증하는 필수적인 과정입니다.


 

 

 

 

충분한 임시치아 사용 기간을 거쳐 환자분의 피드백을 수렴하고 교합의 안정성을 확인한 후, 최종 보철물을 제작하여 장착했습니다. 환자분의 구강 구조와 각 치아의 역할에 맞춰 보철물의 형태를 다르게 적용했습니다.

 

  • 좌측 측절치(#22): 단일 치아를 씌우는 싱글 크라운 형태로 수복

  • 우측 중절치와 측절치(#11, 12): 두 치아를 연결하는 브릿지 형태로 수복

  • 우측 송곳니부터 작은 어금니(#13-15): 씹는 힘을 많이 받는 부위임을 고려하여, 안정적인 구조의 브릿지 형태로 수복

 


 

 

 

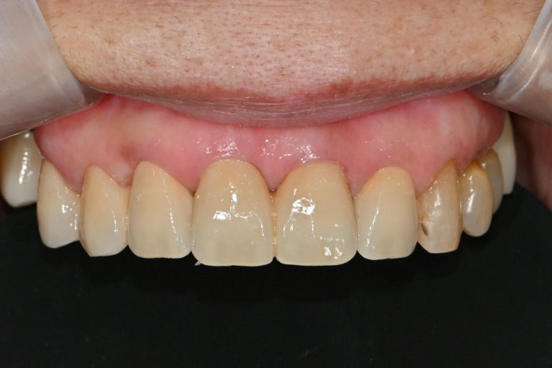
2026년 1월 22일에 촬영된 최종 보철 장착 후의 구내 사진입니다.

 

9개월의 치료 기간을 거쳐 치아의 기능이 회복되었으며, 주변 잇몸 및 인접 치아와 자연스럽게 어우러지는 형태와 색상으로 마무리되었습니다.

 

앞니 보철 치료는 단순히 치아를 하얗고 가지런하게 만드는 작업이 아닙니다. 정확한 신경치료를 바탕으로 한 구조적 안정성, 장기적인 내구성, 그리고 임시치아를 통한 철저한 사전 검증 과정이 동반되어야만 환자와 의료진 모두가 납득할 수 있는 결과가 도출됩니다.

 

앞니 부위의 손상이나 노후화된 보철물로 고민 중이시라면, 이처럼 원칙적인 단계를 준수하는 치료 계획을 세워보시기를 권장합니다.

 

 


하남맥치과 대표원장

치과전문의 권세인

목록

이전글 [임플란트 치료 기록] 하악 전치부 임플란트 및 상악동 거상술 동반 어금니 식립 2026.03.30
다음글 하남시미사노인복지관 '이달의 후원자' 선정 2026.04.07