HANAMMAC DENTAL CLINIC

원장님 칼럼

하남맥치과는 약속합니다
더 정직하게, 더 바르게, 더 편안하게 진료하겠습니다
[치경부 마모증 치료 기록] 본드필을 이용한 치경부 마모 레진 충전

작성일 | 2026.04.29 작성자 | 관리자

안녕하세요 하남맥치과 입니다.

 

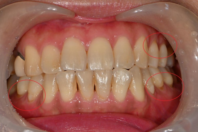
오늘 소개할 증례는 치경부 마모증입니다.

 

치경부 마모증이란 치아의 목 부분이 마모된다는 것입니다.

 

 

 
 
환자분은 찬물 마실때나 양치를 할때

' 시리다 ' 라는 주소로 내원하신 분이십니다.

 

 

 

일반적으로 치경부 마모증을 치료하는 방법은

치경부 마모증이 생긴 원인을 제거하고

파인 부분을 치과재료로 채워주면 완료 됩니다.

 

치경부 마모증의 원인은 씹는힘이 강하거나,

양치를 너무 강하게 하거나

치열이 고르지 않을때 많이 생깁니다.

 

보통 치과에서 사용하는

치경부 마모 치료 재료는

레진과 GI(GLASS IONOMER)가 있습니다.

 

물론 이런 재료들도 훌륭한 재료입니다.

저도 치료에 자주 사용합니다.

 

하지만 이런 재료의 단점은 금방 떨어진다는데 있습니다.

 

그래서 오늘 소개해 드릴 재료는 본드필 입니다.

 

 

 

 

 

 

 

본드필 제품 설명서에 있는 내용을 가져왔습니다.

 

다음과 같은 다양한 장점이 있는 재료이고,

일반 레진과 비교했을 때 중합수축이 적고,

적절한 탄성을 가지며, 적절한 마모도를 가지고 있다는 내용입니다.

 

또한 중합이 표면에서 부터 일어나서 훨씬 더 안정적입니다.

 

 

이러한 장점이 치경부 마모 치료에 큰 도움이 되는데,

쉽게 말씀드리면 잘 안떨어진다!!! 라는 내용입니다.

 

 

다음 사진으로 어떤식으로 치료하는지 보여드리겠습니다.

 

 

 
 
 
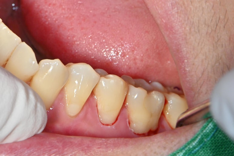
먼저 치아 표면을 깨끗하게 정리합니다.
스케일러나 표면 연마제등을 이용하여
남은 치석이나 치태를 깨끗하게 정리합니다.
 

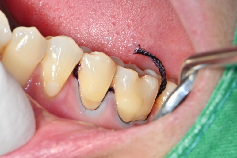
그후에 사진에 보이는 검정 실인 징지코드를 넣습니다.

징지코드는 잇몸 하방에서 올라오는 삼출물이나

혈액을 억제하는 효과가 있습니다.

 

그리고 혀 안쪽으로 솜을 넣어서

침이 넘어 오지 않게 철저하게 방습을 합니다.

 

 

 
 
그 후에 본드필을 붓으로 한땀한땀 떠서
치아에 올려서 중합시켜 줍니다.

 

레진과는 다르게 광중합제가 별로 안들어 있어서

완료후 5~10분정도 굳기를 기다려야 합니다.

 

 

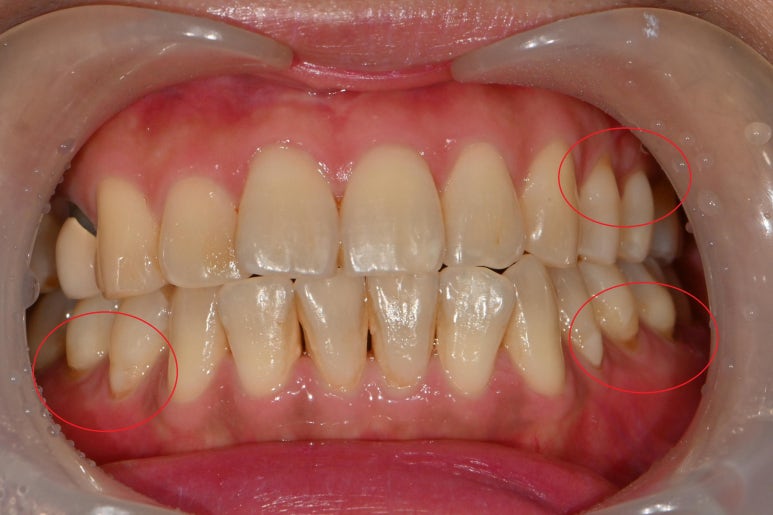
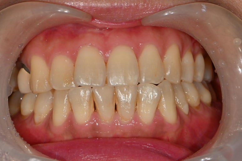
다 굳은 후 과잉의 본드필을

물이 나오는 기구를 이용하여 제거해주고

실을 제거해주면 위의 사진처럼 마무리가 됩니다.

 

 

본드필은 레진이나 gi와는 조금 다르게

양치질을 할수록 연마되어서 치아에

더 어울리는 색상과 형태가 나타납니다.

 

그래서 진료실에서는 과도한 연마를 하지 않습니다.

 

 

 

치경부 마모 치료에 있어서

"어떻게 하면 더 오래 유지될까,

어떻게 하면 덜 불편할까"를 먼저 생각하는 게

저희 하남맥치과의 방식입니다.

 

필요한 부분만 최소한으로 치료하고,

멀쩡한 치아는 건드리지 않는 보존적인 진료

작은 치료 하나에도 그 원칙은 똑같이 적용됩니다.

 

보건복지부 인증 통합치의학과 전문의 원장이

상담부터 치료까지 직접 진행하고 있으니,

 

시린 이부터 임플란트, 교정, 신경치료까지

구강 전반의 고민이 있으시다면 편하게 들러 주세요.

 

 

 

주민분들 곁에 오래 함께하는 치과가 되고 싶습니다.

 

긴 글 읽어주셔서 감사합니다.

 

하남맥치과 였습니다.

목록

이전글 하남맥치과, 하남시미사노인복지관에 쌀 250hg 전달 [언론보도] 2026.04.08
다음글 다음 게시글이 없습니다.